2017.02.14
晶子先生からは リリエンベルグの 森のショコラ いろんなナッツやドライフルーツをチョコレートでコーティングしてあります。続きを読む→
毎年2/14の朝礼の時に スタッフから心のこもったチョコをいただきます。 今年は「GODIVA」です。 チョコを買いに行続きを読む→
2017.02.11
久しぶりに何の予定もない祝日。 土曜日休みが定着している世間では今日が祝日という意識がないらしく 診療所は結構電話が鳴っ続きを読む→
2017.01.31
本日は町田市保健所主催の患者さん対応セミナーに参加してまいりました。 患者さん対応というより続きを読む→
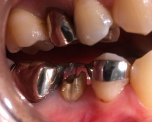
2017.01.14
完全に出てまいりました。 根元にあるピンク色の部分が 割れているところに 詰めていた お薬の名残です。続きを読む→
2017.01.05
いよいよ、2017年も始まりました。 今日から仕事始め。 お休み明けの最初の患者さんに いつも申し訳ないな~、と思ってい続きを読む→
2016.12.07
前回から約1ヶ月 歯根が出て参りました。 割れている部分も見えてきましたね。 あともう少し!! 続きを読む→
2016.11.20
日曜日。快晴 でも、歯科医師会の先生は お勉強好きな方が多いです。 本日は新しく開発された審美修復の実習セ続きを読む→
2016.11.18
18時半から地域ケア会議 私の行く会場は 鶴川サナトリウム病院さん 3会場をTV会議システムで結んでおります。 慣れなか続きを読む→
2016.11.17
本日は13時半から 鶴川駅前のポプリホールで 1歳半健診です。 準備も終わり、検診児のお迎えです。 お昼からの健診は お続きを読む→
COPYRIGHT HAMAYA DENTAL OFFICE ALL RIGHTS RESERVED.
こちらからWEB診療予約を行っていただけます。
★初めてのご来院の方初めて当院へご来院の方は、下記ボタンよりご予約ください。
初診の方専用WEB予約へ
★二回目以降のご来院 または「唾液検査」「口腔がん検診」「訪問歯科診療」をご希望の方
ご予約・お問い合わせページへ